Health Information and Tools >  Angiogram of the Head and Neck

Main Content

Angiogram of the Head and Neck

Test Overview

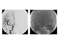
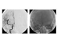
An angiogram of the head and neck is an X-ray test that uses a special dye and imaging (fluoroscopy) to take pictures of the blood flow in the blood vessels of the head and neck . An angiogram of the neck (carotid angiogram) can be used to look at the large arteries in the neck that lead to the brain. An angiogram of the head (cerebral angiogram) can be used to look at the veins or the four arteries (four-vessel study) carrying blood to the brain.

During an angiogram, a thin, soft tube called a catheter is placed into a blood vessel in the groin or arm. The catheter is guided to the head and neck area. Then an iodine dye (contrast material) is injected into the vessel to make the area show clearly on the X-ray pictures.

An angiogram can find a bulge in a blood vessel (aneurysm). It can also show narrowing or a blockage in a blood vessel that slows or stops blood flow. An abnormal pattern of blood vessels (arteriovenous [AV] malformation) or abnormal vessels near a tumour can be seen.

A magnetic resonance angiogram (MRA) or computed tomography angiogram (CTA) may be an option instead of a standard angiogram. Each of these tests is less invasive than an angiogram. Some MRA tests and all CTA tests require an injection of dye. A CTA also involves radiation exposure.

Why It Is Done

An angiogram of the head or neck is done to:

  • Look for blockage or narrowing of the arteries in the neck that carry blood to the brain. The test may help your doctor decide if a procedure is needed to open a narrowed or blocked artery to increase blood flow. Blood flow to the brain that is slowed or stopped increases the chance of having a stroke or a transient ischemic attack (TIA).
  • Study symptoms that might mean problems with the blood flow to the brain. Symptoms may include severe headaches, memory loss, slurred speech, dizziness, blurred or double vision, weakness or numbness, or loss of coordination or balance.
  • Detect an aneurysm in the brain or in a blood vessel leading to the brain. The test may help your doctor decide if a procedure is needed to repair the aneurysm.
  • Check the pattern of blood flow to a tumour. This can show if the tumour has spread and can help guide treatment.

How To Prepare

Do not eat or drink for 6 to 8 hours before the angiogram. You may be asked to not take aspirin, aspirin products, or blood thinners for several days before the test and for 1 day after the test. If you take these medicines, talk with your doctor.

An angiogram can be done on an inpatient or outpatient basis. If you are an outpatient, you will stay in a recovery room for several hours before you go home. Arrange to have someone take you home, because you may get a sedative before the test. If you stay overnight in the hospital, you will likely go home the next day.

Also before the test you may have other blood tests. These include blood clotting (coagulation) studies, and creatinine.

How It Is Done

You will need to take off any jewellery. You may need to take off all or most of your clothes. You will be given a gown to wear during the test.

The test may take several hours, so you will empty your bladder just before it starts.

During the test

You will have an intravenous (IV) line in a vein in your arm so your doctor can give you medicine or fluids if needed. A device called a pulse oximeter, which measures oxygen levels in your blood, may be clipped to your finger or ear. Small pads (electrodes) are placed on your arms, chest, or legs to record your heart rate and rhythm.

You will lie on your back on an X-ray table. Your healthcare team will do their best to make you comfortable.

The place where the catheter will be inserted (in the groin or arm) will be shaved and cleaned. Your doctor will numb the area with a local anesthetic. Then they will put a needle into the blood vessel. A guide wire will be put through the needle into the blood vessel and the needle will be removed. The catheter then will be placed over the guide wire and moved into the blood vessel. The catheter will be guided through the blood vessels until the tip is in the area to be studied. Your doctor will use the fluoroscope to watch the movement of the catheter in the blood vessels.

When the catheter is in place, the dye is injected through it. You may be asked to take a breath and hold it for several seconds. Imaging (X-rays) will be done. These will be ready right away for your doctor to look at. You need to lie very still so the pictures are clear.

After the test

The catheter is taken out after the angiogram, and pressure is put on the site for about 20 minutes to stop any bleeding. You will be given pain medicine if you need it.

If the catheter was put in your groin, you will need to lie still and keep your leg straight for several hours. If the catheter was put in your arm, you may be able to sit up and get out of bed right away. But you will need to keep your arm still for at least 1 hour. Check with your healthcare team before getting up.

The place in your hands and feet where your heartbeat (peripheral pulse) can be felt may be marked with a pen. Your pulse will be checked before and after the angiogram.

How long the test takes

This procedure takes 1 to 3 hours.

How It Feels

You may feel a brief sting or pinch from the numbing medicine. Most people don't have pain when the catheter is in the blood vessel.

You may feel pressure in the blood vessel as the catheter is moved. Let your doctor know if you have pain.

You will probably feel some warmth when the dye is put in. This feeling lasts only a few seconds. For some people, the feeling of heat is strong. For others, it's very mild.

You may have a headache, flushing of the face, or a salty or metallic taste in your mouth after the dye is used. These feelings don't last long. Some people may feel sick to their stomach. But this isn't common.

Risks

The chance of any major problem from an angiogram is very small, but some problems can occur. In most cases, the problems occur within 2 hours after the test when you are in the recovery room. If the problem occurs during the angiogram, the test may not be completed. You may need urgent treatment that could include surgery.

  • There is a chance for an allergic reaction to the dye. The reaction can be mild (itching, rash) or severe (trouble breathing or sudden shock). Most reactions can be treated with medicines. Be sure to tell your doctor if you have hay fever, asthma, or iodine allergy or food allergies.
  • There is a small chance that the catheter may damage a blood vessel or loosen a piece of clotted blood or fat from the vessel wall. The clot or fat can block blood flow to the brain, arm, leg, or intestine (bowel).
  • Bleeding from the site may occur. Also, a blood clot can form where the catheter was inserted. This may cause some blockage of the blood flow in the arm or leg.
  • The dye used for the test can cause direct damage to the kidneys especially if you already have kidney problems. Special measures are used during the test to prevent problems for people who need an angiogram and have these conditions.
  • There is always a small chance of damage to cells or tissue from being exposed to any radiation, even the low level used for this test.

Results

Your doctor may tell you some results right after the test. Full results are usually available within 3 to 5 business days.

Credits

Adaptation Date: 03/18/2024

Adapted By: Alberta Health Services

Adaptation Reviewed By: Alberta Health Services

Adaptation Date: 03/18/2024

Adapted By: Alberta Health Services

Adaptation Reviewed By: Alberta Health Services

Adapted with permission from copyrighted materials from Ignite Healthwise, LLC (Healthwise). This information does not replace the advice of a doctor. Healthwise disclaims any warranty and is not responsible or liable for your use of this information. Your use of this information means that you agree to the Terms of Use. How this information was developed to help you make better health decisions.